免费服务热线:400-661-9909
  • 调皮华裔孩,没带球拍来南京
    昨天下午,南京五台山举行的女子乒乓球混合团体比赛1/8赛中,德国队17岁华裔运动员万远,给观众留下了深刻的印象,她黑发白肤,外表清秀,下蹲式侧旋发球威力很大,可惜的是比赛中失误太多,与男搭档配合生涩。万远说,父亲本是长沙人,曾是八一队队员,.... [阅读全文] [我要评论]
  • 卢旺达孩单车梦:
    “我想赚很多的钱!”昨天自行车公路赛结束后,获得第44名和第45名的两位卢旺达女孩克莱门蒂娜·尼永萨巴和贝妮塔·瓦马里亚,讲述了一个关于自行车和生存的故事。18岁的贝妮塔·瓦马里亚告诉记者,在卢旺达自行车是奢侈品,“一般人家里用的都是木质自.... [阅读全文] [我要评论]
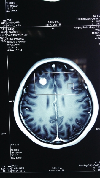
  • 女孩脑中取出一条活的猪肉绦虫
    孩脑中取出一条活的猪肉绦虫
    CT扫描显示,小静脑中高亮处疑是寄生虫。来自淮安的20岁的女大学生小静(化名),因晕倒、抽搐等症状入院,起初都被当做癫痫治疗。南京脑科医院的专家,怀疑是寄生虫入脑,在手术当中,医生取出了一个3厘米长的白色虫子,放在托盘上的虫子还在动!据介绍.... [阅读全文] [我要评论]
  • 排坛名宿细数中日排三大差距
    女排大奖赛,中国女排昨天惨败给东道主。昨晚,在日本东京举行的世界女排大奖赛总决赛第三天的比赛中,中国女排0:3不敌日本,三局的比分为21比25、17比25和21比25。这场比赛,中国队扣球、发球甚至拦网都全面落后,日本女排已经三连胜。赛后,.... [阅读全文] [我要评论]
  • 女士节观众展示他们的风格理性礼貌的巨大的帽子
    士节观众展示他们的风格理性礼貌的巨大的帽子
    Fourracegoersshowofftheirstylenouscourtesyofhugehats女士节观众展示他们的风格理性礼貌的巨大的帽子Showingofftheirshouldersinstraplessfrocksandre.... [阅读全文] [我要评论]
  • “青·青星主播”复活赛:龙洋化身“神经”
    盛夏即将过去,但2014“青·青星主播”的火力却更猛!本周日,复活赛即将激烈上演,15位“复活”选手将面对“青·青星主播”有史以来最残酷的考验。复活赛将通过“集体才艺展示”、“指定情景主持”、“故事接龙”等环节“复活”出6名选手进入下一轮踢.... [阅读全文] [我要评论]
  • 神的新衣》:林志玲透视装走秀卖萌
    明星跨界时尚真人秀节目《女神的新衣》将于本周六21:15在东方卫视开播,林志玲将爆乳亮相,韩庚也将以特别形式出现。节目在开播前,有观众调侃:“要准备好剁手了!”“千万不要让老婆看《女神的新衣》!”“距离破产还有三天”“买台缝纫机,让老婆学做.... [阅读全文] [我要评论]
  • 小美女的梦想是获得奥运会冠军
    小美的梦想是获得奥运会冠军
    朱雪莹优美的空中身姿。范晓林摄扬子晚报讯(新华报业全媒体记者季宇轩范晓林)在昨天下午结束的南京青奥会女子蹦床的项目中,来自北京的妹子朱雪莹发挥稳定,以总分55.425分获得冠军。虽然场面波澜不惊,但是朱雪莹的教练穆勇峰向记者透露,小姑娘赛前.... [阅读全文] [我要评论]
  • 遇巴西,中国女排第16次缴枪
    遇巴西,中国排第16次缴枪
    中国队奋力一搏仍难逃一败。昨天在日本东京,女排大奖赛总决赛进入第二轮,中国女排迎战夺冠呼声最高的巴西队,不出意料,中国女排又输了,0:3(3局比分分别为23:25、20:25和21:25),遭遇了自2008年以来的16连败。今天下午中国女排.... [阅读全文] [我要评论]
  • 不顾对方连抓带踢 警救下醉酒
    扬子晚报讯(通讯员秦公轩记者裴睿)扬子晚报记者从南京地铁警方了解到,18日晚上9点多钟,孝陵卫站派出所女民警马宁在马群站一号通道口附近执勤巡逻时,发现一名女子走路摇摇晃晃的。后来她独自一人趴在了通道天桥的桥栏边上。马警官觉得事情有些不对劲,.... [阅读全文] [我要评论]
  • 铁人力揽青奥首金
    8月17日,南京青奥会首枚金牌在女子铁人三项赛中产生,它的得主是澳大利亚人布里塔妮·达顿。她赛后接受采访时说,自己6岁就开始玩铁人三项,因为自己喜欢游泳和骑自行车,跑步是最基础的健身方式,自然没什么难度。达顿现在是澳大利亚PineRiver.... [阅读全文] [我要评论]
  • 网友力挺 PS简历照片遭淘汰
    近日,安徽女大学生PS简历照片面试时被淘汰,单位给出的说法是涉及诚信,事件在网上引起激烈讨论。据安徽当地媒体报道,沈小姐今年22岁,刚刚大学毕业。前段时间,她在网上投了几份电子简历。8月10日,接到一家大型商场的电话,称有一个化妆品专柜导购.... [阅读全文] [我要评论]
  • 3027篇资讯  首页 上一页 下一页 尾页 页次:178/253页 12篇资讯/页  转到第 页 
  • 关于我们 | 服务条款 | 法律声明 | 扬子晚报广告服务 | 联系我们 | 网站地图 | 会员协议

    版权所有 南京海盟广告有限公司 CopyRight 2009-2017 扬子晚报广告部 All Rights Reserved.

    电话:400-661-9909 传真:025-84460253 地址:江苏省南京市中山南路230号安瑞大厦4楼 QQ热线:494305431

    苏ICP备11044080号-5